
Cuando el nervio dental está dañado o infectado, el tratamiento indicado es la endodoncia, un procedimiento que elimina la infección, alivia el dolor y permite conservar la pieza natural sin necesidad de extraerla.

El precio de una endodoncia varía según el número de conductos y la complejidad del caso, pero siempre representa una inversión menor que extraer y sustituir el diente con un implante dental.

Gracias a la anestesia local y a las técnicas actuales, la endodoncia no provoca dolor. De hecho, su objetivo principal es eliminar la molestia causada por la infección del nervio dental.

¿Qué es una endodoncia?
La endodoncia es la especialidad odontológica para eliminar la pulpa del diente y sellar el conducto pulpar.
La pulpa, es lo que llamamos nervio, un tejido blando que hay dentro del diente que contiene los nervios y vasos sanguíneos.
Por lo tanto, podemos decir que es un tratamiento de la odontología conservadora que se realiza para eliminar el nervio de la pieza dental y poder conservar así el diente natural del paciente.
Mediante una restauración dental con un tratamiento de endodoncia podemos conservar el diente natural del paciente, evitando que tenga que ser sustituido por un implante dental.
Una vez que la pulpa del diente se ha lesionado, esta se inflama por el contacto con bacterias procedentes de caries o la propia saliva, infectando el interior del diente.
Si no se trata a tiempo, la infección se puede propagar hasta la punta de la raíz para formar un absceso, un granuloma (pequeñas protuberancias rojas que sangran fácilmente) o incluso un quiste.
¿En qué consiste una endodoncia?
A continuación, te explicamos de forma sencilla paso a paso cada una de las etapas de una endodoncia dental, para que sepas exactamente en qué consiste el proceso y qué puedes esperar durante el tratamiento.

Valoración y diagnóstico: cómo saber si necesitas una endodoncia
Antes de realizar una endodoncia dental, el odontólogo evalúa el estado del diente y la encía para detectar caries profundas, fracturas o infecciones que afecten al nervio.
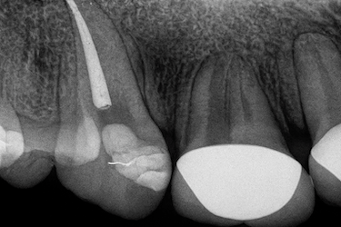
Se realizan pruebas de sensibilidad y una radiografía periapical o panorámica para confirmar si existe daño pulpar o inflamación en la raíz. Estas imágenes ayudan a planificar el tratamiento de conducto con precisión.
Si la estructura del diente puede conservarse, la endodoncia permite eliminar la infección y mantener la pieza natural, evitando la extracción dental y la colocación posterior de un implante.

Anestesia local: la endodoncia no duele
Se utiliza anestesia local, generalmente articaína o lidocaína, para insensibilizar por completo la zona. El odontólogo puede aplicar infiltración o bloqueo del nervio dentario, según el diente tratado.
En pocos minutos el área queda dormida, por lo que no sentirás dolor, solo una ligera presión o vibración de los instrumentos. En casos puntuales se pueden anestesiar varias veces para garantizar la comodidad del paciente.
El efecto suele durar unas horas. Durante ese tiempo conviene no masticar del lado tratado y seguir las indicaciones del dentista si aparece una leve molestia al desaparecer la anestesia.

Acceso al nervio dental: apertura del diente para tratar la infección
Una vez anestesiado el diente, el odontólogo realiza una pequeña apertura en la corona para acceder al interior de la pieza. A través de ese punto se llega al conducto radicular, donde se encuentra el nervio afectado.
Con instrumentos muy finos y controlados, se retira la pulpa dañada para detener la infección y aliviar la presión que causa el dolor.
Este paso permite acceder con precisión al interior del diente y preparar la zona para la limpieza profunda que se realiza a continuación.

Limpieza del conducto: eliminar el nervio dañado o “matar el nervio de la muela”
En esta fase se eliminan los restos del nervio dental dañado y las bacterias del interior del diente. Para ello se utilizan limas y soluciones desinfectantes que limpian los conductos radiculares en toda su extensión.
Este proceso, conocido comúnmente como “matar el nervio de la muela”, es totalmente indoloro gracias a la anestesia.
Una limpieza minuciosa es clave para evitar que la infección vuelva a aparecer y para que el diente pueda conservarse de forma duradera.

Sellado del conducto: rellenar el interior del diente para evitar infecciones
Una vez limpios y desinfectados, los conductos se rellenan con un material biocompatible que sella completamente el interior del diente.
Este paso evita la entrada de bacterias y asegura la estabilidad del tratamiento a largo plazo.
El sellado, o obturación, se realiza con precisión para confirmar que el relleno cubre toda la raíz y queda perfectamente aislado.

Reconstrucción del diente: empaste o corona tras la endodoncia
Después del sellado, el diente se reconstruye con un empaste o una corona dental, según el daño que presente. Si la pieza está muy debilitada, puede colocarse un perno de refuerzo interno antes de la corona.
El objetivo es devolver la forma, la fuerza y la función masticatoria al diente tratado, manteniendo un aspecto natural.
Esta restauración protege el diente endodonciado y evita fracturas, permitiendo usarlo con total normalidad.

Revisión final y cuidados después de la endodoncia
Antes de finalizar, el odontólogo realiza una radiografía de control para confirmar que el sellado está correcto y que no hay signos de infección.
Durante los primeros días es normal notar una ligera sensibilidad al masticar, que desaparece rápidamente con el tratamiento indicado.
Tras la recuperación, el diente debe cuidarse igual que el resto: buena higiene, revisiones periódicas y evitar morder alimentos muy duros para mantener los resultados a largo plazo.
¿Qué tipos de endodoncia existen?
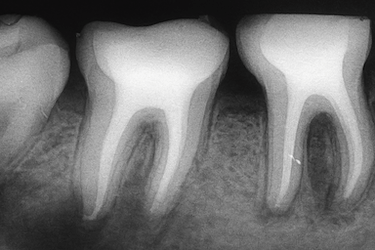
La endodoncia puede variar según el tipo de diente, ya que no todas las piezas tienen el mismo número de raíces ni de conductos. Algunas tienen una sola raíz, otras dos y los molares tres o más.
Por eso distinguimos entre endodoncias unirradiculares, birradiculares y multirradiculares, según su complejidad.

Endodoncia unirradicular
Es la que se realiza en los dientes que tienen una sola raíz o conducto. Se trata, por ejemplo, de los los incisivos centrales, los laterales y los caninos.
Normalmente, las piezas anteriores de la boca (los dientes más visibles al sonreír) tienen un solo conducto radicular. Por eso, las endodoncias unirradiculares suelen ser más sencillas y rápidas, ya que el tratamiento se centra en una única raíz.

Endodoncia birradicular
En las piezas en las que hay dos raíces, como los segundos premolares superiores o los molares inferiores.
Este tipo de endodoncia se realiza con mayor frecuencia en los premolares, que suelen tener dos conductos, uno en cada raíz. En algunos casos, también los primeros molares inferiores presentan esta configuración.

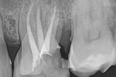
Endodoncia multirradicular
Este tipo de endodoncia se realiza en dientes con más de dos conductos. Los molares superiores son el mejor ejemplo.
Los molares, especialmente los superiores, pueden tener tres o incluso cuatro raíces. En estas piezas el tratamiento endodóntico es más complejo. Con técnicas rotatorias y radiografías digitales, el especialista puede acceder y tratar todos los conductos con precisión.
¿Cuándo recurrimos a una endodoncia?
Si es necesario realizar una endodoncia, cuanto antes se lleve a cabo, mejor será el pronóstico del diente afectado. Conocido también como tratamiento de conducto o desvitalización del nervio, se realiza en aquellos casos en los que la pulpa dental se ha dañado por una caries profunda, un golpe o una infección.
Estos son los casos más frecuentes en los que se recomienda realizar una endodoncia:

Cuando una fractura alcanza la pulpa dental, el nervio queda expuesto y puede inflamarse o infectarse.
En estos casos, la endodoncia permite conservar la pieza y eliminar el dolor.

Las caries que avanzan hasta el interior del diente pueden llegar al nervio y causar una infección severa.
Con la endodoncia se elimina la pulpa dañada y se evita la extracción del diente.

Inflamaciones o necrosis en el tejido pulpar también requieren tratamiento endodóntico.
La limpieza del conducto previene la extensión de la infección al hueso o a otras piezas dentales.
Cuando la infección en un diente se expande dentro del hueso, se produce una inflamación que provoca una sensación de movilidad del diente y dolor en la muela o diente.
El paciente puede presentar ganglios inflamados y hasta fiebre. El tratamiento de endodoncia es necesario cuando la cavidad o hueco del diente es muy profunda y llega al nervio.
También en dientes que requieran grandes tallados para la posterior colocación de coronas o puentes dentales.
El paciente puede presentar ganglios inflamados y hasta fiebre. El tratamiento de endodoncia es necesario cuando la cavidad o hueco del diente es muy profunda y llega al nervio.
También en dientes que requieran grandes tallados para la posterior colocación de coronas o puentes dentales.
Precio de una endodoncia
Si te estás preguntando por el precio de la endodoncia en nuestra clínica dental en Madrid debes tener en cuenta que puede variar en función del número de conductos que haya que tratar.
La valoración por el endodoncista es gratuita e incluye cualquier radiografía que sea necesaria para el diagnóstico. Puedes consultar todos los costes de tratamientos dentales en nuestra página web.
| Precio | |
|---|---|
Endodoncia de un conducto (uniradicular) | Precio 230 € |
Endodoncia de 2 conductos (birradicular) | Precio 250 € |
Endodoncia más de 2 conductos (multirradicular) | Precio 280 € |
Si es necesario habría que añadir al coste de la endodoncia, dependiendo de cada caso:
| Precio | |
|---|---|
Reconstrucción | Precio 60 € |
Gran reconstrucción | Precio 80 € |
Perno de fibra | Precio 60 € |
Corona provisional | Precio 30 € |
Corona de metal porcelana | Precio 290 € |
¿Qué debes saber antes de realizarte una endodoncia?
Antes de realizarte a una endodoncia es normal que surjan dudas sobre el tratamiento, el dolor o los cuidados posteriores.
En esta sección respondemos de forma clara a las preguntas más frecuentes que nos hacen nuestros pacientes.
¿Duele una endodoncia?
El tratamiento de un conducto, dos o endodoncia multiradicular se realiza totalmente sin dolor. Hoy en día se utilizan anestesias locales muy eficaces y de larga duración.
Una vez acabada este tratamiento de conservación por el especialista en endodoncia y pasado el efecto de la anestesia, puede aparecer durante unos días alguna molestia con la masticación del diente que ha sido tratado debido a la irritación e inflamación de los tejidos que rodean la raíz del diente.
En estos casos nuestros dentistas te proporcionarán la medicación adecuada para que no tengas ninguna molestia.
¿Cómo sé si es necesaria una endodoncia?
Algunos de los síntomas más frecuentes que pueden indicar que necesitas una endodoncia son:
- Dolor agudo permanente o al masticar.
- Encía inflamada.
- Alta sensibilidad al calor y al frío.
- Grietas en la pieza dental.
- Cambio de color del diente.
Nosotros nos encargaremos de revisar tu boca y de aconsejarte la mejor opción para tu caso en concreto.
¿Cuánto dura este tratamiento?
Lo habitual es que podamos realizarte la endodoncia en una sola sesión si no surgen complicaciones.
En determinadas circunstancias puede que sean dos o tres, pero no es lo habitual. Además, deberás venir a visitarnos para una revisión al cabo de una o dos semanas.
¿Requiere de algún cuidado especial el diente endodonciado?
No, se debe cuidar como otra pieza dental más. Es decir, a no ser que tu odontólogo te haga alguna recomendación concreta, se debe seguir con la misma rutina de higiene bucal que empleas en el resto de tu boca.
Referencias bibliográficas
Endodoncista en Madrid
En la Clínica Dental Medics Dr. Ferrer contamos con un equipo especializado en endodoncia en Madrid, con más de tres décadas de experiencia en el tratamiento y conservación de piezas dentales dañadas.
Nuestro objetivo es preservar tu diente natural mediante técnicas avanzadas y un enfoque mínimamente invasivo.
Cada tratamiento de endodoncia se realiza tras un estudio diagnóstico preciso, empleando radiografía digital y sistemas rotatorios que garantizan la máxima eficacia y comodidad para el paciente.
Nuestro equipo
El equipo médico del Dr. Ferrer está formado por odontólogos con amplia experiencia en endodoncia y restauración dental, comprometidos con ofrecer un tratamiento preciso, seguro y personalizado a cada paciente.
¿Dónde estamos?
La Clínica Dental Medics Dr. Ferrer se encuentra en la calle Ramiro II, número 10, del barrio madrileño de Chamberí.
Podrás llegar hasta ella fácilmente gracias a lo cerca que se encuentra de las estaciones de metro de Ríos Rosas y Cuatro Caminos.
Además, también tiene excelentes conexiones en autobús gracias a las líneas L12 (Cea Bermúdez – Gaztambide), L44 y N21 (San Francisco de Sales – Plaza de Cristo Rey) y C1 (Isaac Peral – Hospital Clínico).
También estamos en Murcia, por lo que si resides cerca de la capital de la región puedes acercarte a nuestra clínica local y recibir los mismos tratamientos siempre con médicos de confianza.
¿Quieres saber la experiencia y opinión de pacientes reales que han pasado por una endodoncia en nuestra clínica? Aquí te dejamos unas cuantas para que puedas leer.
Opiniones de nuestros pacientes



Conoce más sobre la endodoncia
Descubre en nuestro blog más artículos relacionados con el tratamiento de apicectomía y con la cirugía oral en general.




