El especialista en endodoncia es el dentista que realiza el tratamiento de conducto radicular para tratar la infección del diente.
Un odontólogo especialista en endodoncia tratará de salvar la pieza dental que está dañada debido a la descomposición de bacterias en los sistemas del conducto radicular o por un golpe fuerte en la pieza dental.
Una endodoncia se lleva acabo para desvitalizar el nervio del diente en casos de caries profunda, lesiones del tejido pulpar o fracturas severas en la pieza dental.
A través del tratamiento de endodoncia nuestros dentistas han podido tratar y salvar muchos dientes en nuestra clínica dental evitando su perdida definitiva .
El tratamiento de conducto radicular suele tener un gran porcentaje de éxito para lograr salvar el diente del paciente en la gran mayoría de los casos.
Este tratamiento dental ayuda a conservar una sonrisa natural y con el cuidado adecuado y las revisiones periódicas con tu dentista, el diente que ha sido endodonciado puede llegar a durar toda la vida.
¿En qué consiste una endodoncia?
Normalmente, un odontólogo especialista en endodoncia necesita más de una visita en la clínica dental con el paciente para realizar este tratamiento.
Contamos con doctores experto en endodoncia en Madrid y odontología conservadora.
En la primera sesión el doctor sellará el diente con un relleno temporal. Después el endodoncista colocará el relleno definitivo y realizará el sellado del conducto radicular, evitando así que el diente vuelva a tener inflamación.
Un diente está formado por la corona, que es la parte del diente que es visible en la boca, y la raíz, que se extiende en el hueso de la mandíbula fijando el diente en su posición.
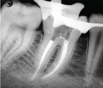
La pulpa del diente se compone de tejido blando que incluye nervios y vasos sanguíneos. Se encuentra en el sistema del conducto radicular, que se extiende desde la corona del diente hasta el final de la raíz.
Cuando la pulpa del diente se ve afectada, se produce la inflamación debido a las bacterias procedentes de la caries o la propia saliva, infectando el interior del diente.
Cuando uno de los canales del diente está amenazado de tener infección es necesario que el doctor especialista en endodoncia realice una pulpectomía para la eliminación del tejido pulpar.
El endodoncista realiza una perforación en la corona del diente para poder llegar a la pulpa, extraerla y proceder a la limpieza del conducto. A continuación, se rellena y se sella cada uno de los conductos radiculares y la cámara para matar el nervio y el suministro de sangre del diente.
Las endodoncia se realiza con anestesia local por lo que no produce ningún dolor durante la intervención. Durante el tratamiento de endodoncia tu dentista puede recetarte antibióticos para combatir la infección. Un seguimiento posterior del tratamiento es muy importante para verificar la efectividad y evolución de la endodoncia.
Nuestros dentistas especialistas en endodoncia recomiendan realizar exámenes anuales y radiografías después del tratamiento de conducto radicular.
¿Quitar el diente o realizar una endodoncia?
Los dientes que causan inflamación y no pueden ser tratados con un tratamiento de endodoncia deben de ser extraídos. Es muy importante tratar el diente lo antes posible para evitar que la infección se propague hasta la punta de la raíz, lo que puede provocar la pérdida definitiva del diente.
Si el tratamiento del conducto radicular no se hace a tiempo, puede ser necesario extraer el diente infectado para evitar problemas más graves. Un diente no puede ser salvado mediante tratamiento de endodoncia cuando los canales radiculares no son accesibles, la raíz está severamente fracturada, el diente no tiene soporte óseo adecuado o el diente está tan deteriorado que no puede ser restaurado.
En los casos donde la conservación y rehabilitación del diente no es suficiente y la pieza se ha perdido definitivamente la mejor solución es sustituir el diente perdido con un implante dental.
Dientes endodonciados
La mayoría de los dientes tratados con una endodoncia duran tanto como los dientes naturales, sin embargo su capacidad de carga y de resistencia no será tan alta como antes.

Los dientes que han sido endodonciados son más propensos a romperse que los dientes sanos que no han sido restaurados.
En ocasiones es recomendable colocar una corona en el diente endodonciado para protegerlo y darle mayor resistencia..
Un diente endondonciado puede oscurecerse, sobre todo si ha muerto como resultado de una lesión por un golpe fuerte al diente.
Hay varias maneras de tratar la decoloración, como blanquear el diente internamente usando productos químicos.
Especialista en endodoncia
- El tratamiento de conducto es un procedimiento complejo que debe de ser realizado por un buen dentista especialista en endodoncia que conozca y tenga práctica en esta técnica de tratamiento dental.
- Cuanta más experiencia y práctica tenga el odontólogo, el tratamiento de endodoncia provocará menos molestias y una recuperación más rápida.
- Un endodoncista además de haberse formado como odontólogo general ha llevado acabo estudios en mayor profundidad en esta materia así como su puesta en práctica. La formación del endodoncista es continua con el objetivo de tener un aprendizaje y una mejora constante en la técnica.
- Si necesitas realizarte un tratamiento de conducto ponte en contacto con nuestra clínica dental para una valoración con el especialista en endodoncia.



