
La falta de hueso impide colocar implantes con seguridad. Por suerte, existen técnicas eficaces para regenerarlo.

El precio del injerto de hueso dental depende de cuánto tejido óseo haya que regenerar. A continuación, te lo explicamos en detalle.

Tras el injerto, el proceso de cicatrización es gradual, pero no doloroso. Podrás hacer vida normal casi desde el primer día.
¿Qué es un injerto de hueso dental?

El injerto de hueso dental es una intervención quirúrgica que realizamos a través de un procedimiento rápido, seguro y sin dolor, en los casos de pacientes en los que hay poco hueso para colocar implantes dentales.
Con este implante de hueso dental conseguimos que nuestros pacientes tengan la calidad y, sobre todo, la superficie ósea necesaria para poder realizar el tratamiento.
El material del hueso que colocamos puede ser procedente del propio paciente o un relleno de hueso artificial, que es lo más habitual.
Este hueso sintético es como un polvo o cemento que se une a la superficie, generando más maxilar.
Estas técnicas están ampliamente documentadas en la literatura científica como tratamientos eficaces para regenerar el hueso en pacientes con reabsorción ósea, especialmente en casos complejos de atrofia mandibular (Martínez Álvarez et al., 2018) [¹].

Al tratarse de material biocompatible, no hay rechazo del hueso, aunque controlaremos una posible infección mediante una toma de antibióticos.
Gracias a este incremento de la cantidad de hueso se puede conseguir el espacio suficiente para que los implantes se fijen de forma estable y con la inclinación adecuada para sujetar la prótesis durante muchos años.
Es importante siempre que recurras a especialistas con la debida experiencia, como los que tenemos en nuestra clínica, para asegurarte de que todo el proceso se realiza de la manera correcta.

¿Cuándo es necesario un injerto de hueso dental?
La pérdida de hueso dental puede deberse a distintas causas que afectan al maxilar con el paso del tiempo. Las más comunes son:
- Falta de hueso en las encías por enfermedad periodontal.
- Ausencia ósea por un traumatismo dental.
- Pérdida de hueso después de una extracción dental.
- Reabsorción ósea dental por no sustituir un diente perdido.
- Movimiento y desgaste de las dentaduras postizas durante largos períodos de tiempo.
- Infecciones graves o quistes en el hueso que provocan su destrucción progresiva.
La reabsorción ósea tras la pérdida dentaria es un proceso crónico, progresivo e irreversible que puede dificultar la colocación de implantes si no se actúa a tiempo (Monzón Trujillo et al., 2014) [²].
¿En qué consiste el injerto de hueso?
El injerto de hueso maxilar es la mejor solución cuando el hueso del paciente es demasiado estrecho o demasiado corto para colocar un implante.
La regeneración ósea proporciona una buena sujeción, aumentando la anchura y la altura del hueso de manera que el implante dental pueda estar completamente anclado sin movimiento.

Todo comienza con una primera consulta en la que realizamos pruebas y analizamos la zona para ver la cantidad de injerto que se va a necesitar y determinamos con el paciente cómo será el proceso que seguiremos.
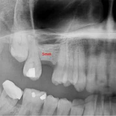
Durante esta valoración inicial, realizamos un escáner 3D o TAC dental de alta precisión que nos permite observar en detalle la cantidad y calidad del hueso disponible.
Esta imagen tridimensional nos ayuda a planificar el injerto con total seguridad, definiendo el volumen necesario y localizando estructuras anatómicas importantes como el nervio dentario o el seno maxilar.

Tras esta fase de planificación pasaremos a la preparación de la zona y a la intervención quirúrgica, que se realiza siempre bajo anestesia para que resulte totalmente indolora.
Tras colocar el injerto de hueso dental, habrá que vigilar muy bien el área y esperar unos meses para que se complete el proceso de osteointegración.
Durante este periodo de cicatrización, el hueso injertado se va integrando con el hueso natural del paciente, formando una estructura sólida que permitirá la colocación del implante con todas las garantías.
Mediante revisiones clínicas y nuevas pruebas de imagen, confirmamos que la regeneración ósea avanza correctamente antes de programar la colocación del implante. Así garantizamos un resultado predecible, seguro y duradero.
Precio del injerto de hueso
Aquí te dejamos nuestras tarifas actualizadas para que puedas conocer el precio del injerto de hueso dental en nuestra clínica.
Solicítanos un presupuesto gratuito y sin compromiso. Si tienes dudas sobre el coste del tratamiento, estaremos encantados de asesorarte.
| Precio | |
|---|---|
Injerto de hueso liofilizado 0,5 gr. | Precio 200 € |
Injerto de hueso liofilizado 1 gr. | Precio 300 € |
Injerto de hueso liofilizado 2 gr. | Precio 400 € |
¿Cuánta cantidad de hueso liofilizado necesito? La cantidad de material necesario depende del grado de pérdida ósea y del número de implantes a colocar.
- En casos de pequeñas reabsorciones óseas, lo habitual es utilizar 0,5 gramos de injerto, suficiente para regenerar zonas localizadas.
- Cuando la pérdida de hueso es moderada o se van a colocar varios implantes, se recomienda 1 gramo de injerto.
- En situaciones con gran reabsorción ósea o tratamientos más complejos, pueden ser necesarios hasta 2 gramos de injerto.
⚠️ Nota importante:
El precio indicado corresponde a la técnica del injerto de hueso con material liofilizado.
Dependiendo del caso, pueden ser necesarios añadir otros servicios odontológicos, como la colocación de una membrana de colágeno o la elevación de seno maxilar, para garantizar una base ósea adecuada.
Si quieres entender cómo influyen estos tratamientos en el presupuesto global y conocer el precio final de un implante dental con todo incluido, te recomendamos consultar nuestro artículo específico.
Si dispones de un presupuesto previo o de una radiografía reciente, puedes hacérnosla llegar.
De esta manera podremos ofrecerte una orientación más precisa, que confirmaremos en tu primera visita gratuita con el Dr. Ferrer.
injerto de hueso dental antes y después


Lo que debes saber antes de recurrir al injerto de hueso
Nuestros implantólogos responderán siempre a las preguntas frecuentes sobre este tratamiento implantológico en el que es necesario añadir hueso.
Aquí te dejamos las cuestiones que más se nos repiten sobre el injerto de hueso dental.
¿Es doloroso el injerto de hueso dental?
No, no es doloroso el injerto de hueso dental ya que se realiza bajo anestesia. Pero el postoperatorio sí que puede ser molesto durante unos días, ya que la zona suele estar inflamada y enrojecida.
¿Cómo es el postoperatorio de un injerto de hueso?
Durante los primeros días hay que tomar antibióticos para evitar posibles infecciones así como antiinflamatorios para controlar el dolor del posoperatorio.
También recomendamos evitar realizar ejercicio o esfuerzos físicos durante la primera semana y seguir una dieta blanda.
¿Hay alternativas al injerto de hueso?
Sí, además del injerto de hueso maxilar existen otras técnicas de regeneración como a expansión ósea o la elevación de seno maxilar.
¿Cuánto tengo que esperar hasta poder ponerme el implante/prótesis?
Dependerá del tipo de injerto que se utilice y también de las características del propio paciente.
No todas las personas tienen el mismo tiempo de cicatrización. En consulta te daremos a conocer todos los detalles.
Referencias bibliográficas
¹ Martínez Álvarez, O., Barone, A., Covani, U., Fernández Ruíz, A., Jiménez Guerra, A., Monsalve Guil, L., & Velasco Ortega, E. (2018). «Injertos óseos y biomateriales en implantología oral».
Artículo completo en PDF – Scielo² Monzón, D; Martínez, I; Rodríguez, R; Piña, J (2014) “Injertos óseos en implantología oral”
Artículo completo – Revista Médica ElectrónicaEspecialistas en injerto de hueso en Madrid
Nuestros doctores especialistas en injerto de hueso han acumulado años de experiencia en este campo.
Gracias a su profesionalidad, favorecen la rápida regeneración del hueso maxilar, tanto en calidad como en cantidad, para soportar la raíz de titanio adecuadamente en el momento de la colocación de los implantes.
Nuestro objetivo es que recuperes tu sonrisa con seguridad, confianza y los mejores resultados a largo plazo.
Nuestro equipo
Contamos con un equipo de especialistas que te acompañará en cada etapa del tratamiento.
Nuestro valor diferencial es combinar la excelencia profesional con una atención cercana y personalizada. Aquí puedes conocer a los doctores que forman parte de nuestro equipo.
¿Dónde estamos?
La Clínica Dental Medics Dr. Ferrer se encuentra en la Calle de Ramiro II, 10, Chamberí, 28003 Madrid.
Ubicada a pocos minutos de las estaciones de metro de Ríos Rosas y Cuatro Caminos, lo que facilita un acceso rápido y cómodo.
También puedes llegar fácilmente en autobús, con varias líneas que conectan la zona, como la L12 (Cea Bermúdez – Gaztambide), L44, N21 (San Francisco de Sales – Plaza de Cristo Rey) y C1 (Isaac Peral – Hospital Clínico).
Si vives en la Región de Murcia o te resulta más cómodo desplazarte, también puedes realizar tu tratamiento de injerto de hueso dental en Murcia, con la misma atención personalizada y profesionalidad que ofrecemos en todas nuestras clínicas.
Opiniones de nuestros pacientes
Te invitamos a leer algunas opiniones en las que los pacientes de la Clínica Dental Medics del Dr. Ferrer comparten sus experiencias. Descubre testimonios auténticos sobre nuestros tratamientos y servicios, y cómo hemos ayudado a mejorar su salud y su sonrisa.
Valoración gratuita de injerto de hueso dental
Conoce más sobre el injerto de hueso dental
Descubre más sobre el tema leyendo otros interesantes artículos en los que exploramos sobre diversos temas relacionados con el injerto de hueso y con otros aspectos relacionados con la salud dental.






