
Muchos pacientes creen que una limpieza bucal duele o genera sensibilidad. Lo cierto es que suele ser indolora, aunque en algunos casos puede requerir anestesia. Descubre aquí cuándo sucede y qué sentirás en la cita.

El precio de la limpieza
es una de las preguntas más habituales. Aquí encontrarás cuánto cuesta este tratamiento y qué factores influyen en su coste final para que sepas exactamente qué esperar.

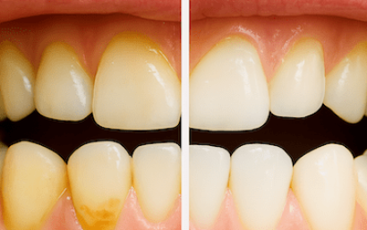
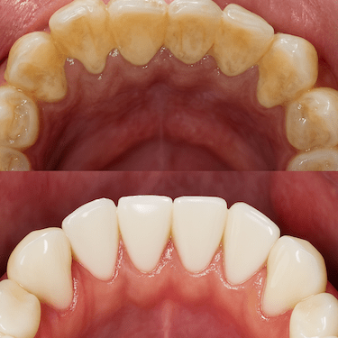
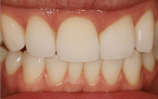
El antes y el después de una limpieza de dientes refleja beneficios visibles como dientes más brillantes y encías más saludables. Este procedimiento ayuda a prolongar la salud bucal y a mantener una sonrisa cuidada.
¿Qué es una limpieza dental o tartrectomía?
La limpieza o profilaxis elimina placa y sarro que el cepillado no retira y ayuda a prevenir gingivitis y caries. Es recomendable en adultos y adolescentes sanos. Si ya hay bolsas periodontales, tu tratamiento será un mantenimiento periodontal, no una limpieza convencional.

Una limpieza dental es un tratamiento de la odontología conservadora que se realiza para eliminar el sarro de los dientes acumulado.
Acudir a nuestra clínica odontológica en Chamberí para llevar a cabo una limpieza bucodental con ultrasonido con frecuencia es la mejor manera de eliminar el sarro dental y la placa bacteriana.
Así conseguimos un mejor cuidado dental que no solo ayuda a prevenir caries, sino que también protege las encías frente a la gingivitis y la periodontitis, evitando complicaciones futuras.
Si el paciente necesitara una limpieza de dientes profunda de las bolsas periodontales, será necesario realizar un raspado y alisado radicular.
Aunque el método más habitual para eliminar la placa sigue siendo la profilaxis profesional con ultrasonido, también existen estudios que exploran materiales de alta adsorción como alternativa experimental de higiene oral, todavía en fase de investigación (González-González, 2014)¹.
Tipos de limpiezas dentales
Dentro de la odontología conservadora se distinguen dos tipos principales de limpiezas dentales: la limpieza con ultrasonido, de carácter preventivo, y la limpieza profunda o curetaje, indicada en casos de enfermedad periodontal.
El odontólogo valorará tu situación y recomendará la técnica más adecuada para mantener encías y dientes en buen estado.

Limpieza dental con ultrasonido
La limpieza básica es un procedimiento preventivo que se realiza para eliminar la placa y el sarro acumulados en la superficie de los dientes y a lo largo de la línea de las encías.
Este tipo de limpieza es fundamental para mantener una buena salud bucal y prevenir enfermedades periodontales.
Durante la limpieza, se utilizan ultrasonido, una herramienta que desprende el sarro con vibraciones suaves y seguras.
También ayuda a eliminar las manchas superficiales, dejando los dientes más limpios y brillantes.
Después del ultrasonido, se utilizan instrumentos manuales para pulir los dientes y asegurar que estén completamente limpios.

Limpieza dental profunda o curetaje
El curetaje es un tratamiento más intensivo que se realiza cuando hay signos de enfermedad periodontal.
Esta limpieza profunda es un raspado de las superficies de las raíces de los dientes mediante una cureta para eliminar el sarro de las bolsas periodontales.
Este procedimiento ayuda a tratar la inflamación y a prevenir la progresión de la enfermedad periodontal y necesita de anestesia local.
Para más información detallada sobre en qué consiste este procedimiento y cuándo está indicado, visita nuestra página sobre el curetaje .
¿Cómo se hace una limpieza de boca o tartrectomía?
Una limpieza dental completa tiene una duración aproximada de 30-45 minutos. Se trata de un procedimiento sin dolor, en el que no suele ser necesario el uso de anestesia, salvo en aquellos casos en los que el paciente presenta sensibilidad en los cuellos dentales.
El objetivo de esta profilaxis es eliminar el sarro que no es posible quitar con el cepillo de dientes convencional o el hilo dental en nuestra casa.

Exploración inicial
Tu odontólogo realizará una valoración a fondo de tus dientes para revisar el estado de la salud de tus encías.
Se observa si existen zonas inflamadas, sangrado, presencia de sarro, infección o caries.
También se comprueba si existe exceso de movilidad en los dientes y medimos las bolsas periodontales del paciente.
Debes tener siempre en cuenta que con una tartrectomía periódica (el nombre técnico de la limpieza dental) con tu dentista evitarás el deterioro de tu salud dental y la aparición de gingivitis y de enfermedades periodontales.

Limpieza dental con anestesia
Lo más habitual es que una limpieza de boca se realice sin anestesia, ya que el procedimiento resulta soportable aunque pueda generar cierta molestia en las encías.
No es una sensación agradable, pero suele ser perfectamente tolerable por la mayoría de los pacientes.
Sin embargo, hay personas que experimentan dolor incluso con una profilaxis básica.
Esto ocurre con mayor frecuencia cuando existen cuellos dentales descubiertos, inflamación de encías o bolsas periodontales profundas. También puede ser incómodo si hay retracción gingival o enfermedad periodontal.
En estos casos se puede aplicar anestesia local para que la limpieza bucal sea sin dolor y permita eliminar el sarro y la placa bacteriana de forma completa, cuidando la salud bucodental.

Limpieza interproximal
La limpieza interproximal se centra en eliminar los restos de placa y sarro que se acumulan en los pequeños espacios entre los dientes, zonas a las que el cepillo convencional no puede llegar con eficacia.
Estas áreas son especialmente delicadas, ya que suelen ser el punto de inicio de caries y de inflamación en las encías.
El odontólogo utiliza instrumentos específicos para acceder a estos espacios y garantizar que queden completamente limpios.
Con esta técnica se consigue una higiene más completa y se evita la progresión de problemas periodontales.
Mantener los espacios interdentales sin sarro ni placa cuida las encías, evita manchas y mantiene el aliento fresco.

Eliminación de sarro (tartrectomía)
El sarro dental es la placa bacteriana que, al no eliminarse correctamente con el cepillado, se endurece con el tiempo y se adhiere a la superficie de los dientes y a la línea de las encías.
Estas acumulaciones no solo manchan los dientes, sino que también favorecen la inflamación de las encías y aumentan el riesgo de caries y de enfermedades periodontales.
Durante la limpieza de dientes, el odontólogo elimina el sarro visible y el que se encuentra en las zonas más difíciles de acceder, como los espacios interdentales o cerca de la encía.
Con esta tartrectomía, se consigue recuperar la higiene oral que no se puede lograr únicamente con el cepillo o el hilo dental en casa.
La eliminación de sarro es un paso fundamental de la profilaxis, ya que permite mantener una sonrisa más limpia, fresca y saludable, además de prevenir problemas más serios en el futuro.

Pulido dental
El pulido dental es la fase final de la limpieza profesional y se realiza para eliminar las manchas superficiales de los dientes que no se quitan con el cepillado habitual.
Gracias a esta técnica se consigue que la superficie del diente quede más lisa y brillante, lo que ayuda a mantener una sonrisa más estética y saludable.
Durante el procedimiento, se utiliza una pasta especial de pulido que contiene agentes ligeramente abrasivos, pero totalmente seguros, que permiten eliminar manchas sin dañar el esmalte dental.
Es un tratamiento indoloro, rápido y cómodo para el paciente.
Además de mejorar la apariencia de los dientes, el pulido facilita que la placa bacteriana tarde más en adherirse de nuevo a la superficie, ayudando a prolongar los resultados de la profilaxis y a mantener una mejor higiene dental.

Aplicación de fluór
En algunas limpiezas dentales se incluye un refuerzo con flúor, mientras que en otras no resulta necesario.
La decisión depende del estado de la boca: se recomienda sobre todo en pacientes con alto riesgo de caries, sensibilidad dental o desgaste del esmalte.
Este producto se coloca en forma de gel o barniz sobre los dientes y ayuda a fortalecer el esmalte, haciéndolo más resistente frente a los ácidos de la placa bacteriana.
Además, puede disminuir la sensibilidad tras la profilaxis y aportar una capa extra de protección frente a futuras caries.

Instrucciones de higiene dental
Al finalizar la limpieza, el odontólogo ofrece unas recomendaciones de higiene dental personalizadas para mantener la boca en buen estado.
Estas indicaciones suelen incluir consejos sobre la técnica correcta de cepillado, advirtiendo si el paciente ejerce demasiada fuerza que pueda dañar las encías.
En función de cada caso, también se sugiere el uso de hilo dental o de irrigadores para acceder a las zonas interdentales donde el cepillo no llega.
Además, tu dentista puede recomendarte un tipo de pasta dental específica si existe sensibilidad, inflamación de encías o tendencia a acumular sarro.
Según el Centro para el Control y la Prevención de Enfermedades de Estados Unidos, mantener una buena higiene oral en la edad adulta reduce el riesgo de caries, pérdida dental y enfermedad periodontal a lo largo de la vida [CDC, 2024] ².
¿Cuándo realizar una profilaxis o limpieza dental?
Para realizarse una limpieza oral no hay que tener una determinada condición. Aunque tu salud bucodental sea excelente, la profilaxis se recomienda para todas las personas.
Se debe realizar cada 6 meses o, como mínimo, 1 vez al año. Además, es recomendable realizarla si notas acumulación de placa, sarro, mal aliento, o en otros casos que tu odontólogo de confianza te especificará.

Acumulación de sarro
El sarro se adhiere a los dientes y solo puede eliminarse en la clínica con una limpieza profesional, evitando así caries y problemas en las encías.

Manchas en los dientes
El consumo de café, té, tabaco o ciertos alimentos puede oscurecer el esmalte; la limpieza ayuda a recuperar un aspecto más limpio y saludable.

Encías inflamadas
Las encías enrojecidas o que sangran al cepillarse suelen ser un signo temprano de gingivitis que conviene tratar con una profilaxis regular.
Precio de una limpieza dental
El coste de una limpieza dental en Madrid puede variar según el tipo de tratamiento que necesites. A continuación te mostramos una tabla con las diferentes opciones disponibles. La valoración inicial con nuestros dentistas es gratuita y sin compromiso.
| Precio | Incluye | |
|---|---|---|
Limpieza dental | Precio 50 € | Incluye
Exploración, ultrasonidos, limpieza interdental, pulido, instrucciones de higiene.
|
Limpieza dental con anestesia | Precio 80 € | Incluye
Todo lo anterior + anestesia local en áreas sensibles. |
Cómo una limpieza bucodental pueden mejorar tu sonrisa
El antes y el después de una profilaxis profesional demuestra cómo la eliminación de sarro y manchas devuelve a los dientes un aspecto más limpio y estético.
En muchos casos, este tipo de limpieza dental también blanquea de manera natural el esmalte, aportando una sonrisa más luminosa. A continuación puedes ver un ejemplo visual de los resultados que se consiguen con este tratamiento.


Qué debes saber antes de una limpieza dental
Es habitual que surjan dudas sobre la limpieza de boca. Por eso hemos reunido aquí las preguntas más frecuentes de nuestros pacientes, con respuestas sencillas para ayudarte a resolverlas.
¿Cada cuánto tiempo se debe realizar la limpieza dental?
Como norma general, se recomienda realizar una limpieza bucal cada año para mantener una buena salud bucal. Hay casos concretos en los que se debe hacer cada seis meses.
¿Puedo comer después de una profilaxis dental?
Sí, puedes comer después de una profilaxis dental, aunque lo ideal es esperar al menos 30 minutos.
Conviene evitar alimentos prohibidos después de una limpieza dental, como los muy calientes, fríos, ácidos o con colorantes (café, vino tinto, té, refrescos oscuros), ya que pueden aumentar la sensibilidad o manchar los dientes.
Si se ha aplicado flúor, es recomendable no comer ni beber nada durante 30 minutos para que el producto actúe correctamente.
¿Duele realizarse una tartrectomía dental?
La tartrectomía, generalmente, no es dolorosa. Puede causar alguna leve molestia durante el proceso o en los días posteriores. Si sientes incomodidad, usaremos anestesia local.
¿Cuál es la duración del tratamiento?
En nuestra clínica la limpieza dental suele durar entre 30 y 45 minutos, dependiendo de la cantidad de placa y sarro acumulados y de cada caso concreto,
¿Por qué noto huecos después de una limpieza dental?
Es habitual que tras una limpieza bucal profesional parezca que quedan más “huecos” entre los dientes.
En realidad, esos espacios ya existían, pero estaban ocupados por acumulaciones de sarro que, al ser eliminadas, dejan la sensación de mayor separación.
Lejos de ser un problema, es un signo de que la limpieza ha sido efectiva y de que las encías podrán recuperar mejor su salud.
¿Puedo hacerme una limpieza tras una extracción?
Lo recomendable es esperar a que la encía cicatrice, normalmente entre 2 y 4 semanas. Pasado ese tiempo, el odontólogo valorará si ya es seguro realizar la limpieza sin riesgos.
Referencias bibliográficas
¹ González-González, J.M. (2014). «Limpieza bucodental mediante técnicas de adsorción con material desechable. Nueva alternativa de higiene oral.» Avances en Odontoestomatología, 30(6): 299-305.
Leer artículo completo en SciELO (PDF)² Centers for Disease Control and Prevention (CDC). Oral Health Tips for Adults. CDC, May 15, 2024.
Leer artículo completo en CDCEspecialistas en limpiezas dentales en Madrid
En la Clínica del Dr. Ferrer somos especialistas en limpiezas dentales en Madrid. Utilizamos las mejores técnicas para eliminar la placa y el sarro, previniendo enfermedades como la gingivitis y la periodontitis, siempre con el mejor equipo de profesionales a tu disposición.
Nuestro equipo
Contamos con un completo equipo de profesionales, especialistas en cuidar de tu salud bucal. El carácter familiar es una de nuestras señas de identidad y se refleja también en nuestra plantilla.
¿Dónde estamos?
Nuestra clínica dental se encuentra en la Calle de Ramiro II, 10, Chamberí, 28003 Madrid, en una zona céntrica y de fácil acceso.
Estamos muy bien comunicados mediante transporte público: las estaciones de metro Ríos Rosas y Cuatro Caminos están a pocos minutos andando, y varias líneas de autobús conectan directamente con calles cercanas, lo que facilita tu visita desde cualquier punto de la ciudad.
Si vives en la Región de Murcia, también puedes confiar en nuestra experiencia en limpieza dental en Murcia, donde nuestro equipo aplica los mismos protocolos y la misma filosofía de atención personalizada para cuidar de tu sonrisa.
Haz click en “Calcular Ruta” para saber cómo llegar a nuestra clínica dental en Madrid desde tu ubicación.
Opiniones de nuestros pacientes
Conoce más sobre higiene dental
Como expertos en salud bucal que somos, hemos hablado en profundidad sobre muchos temas relacionados con la higiene dental. En los siguientes posts puedes encontrar más información sobre el tema.










