Una radiografía dental panorámica permite a tu dentista ver con todo detalle el estado de tu boca, dientes, hueso.
Sin esta prueba diagnóstica no se podrían detectar otros aspectos que el dentista a simple vista no puede ver mediante un examen dental rutinario.
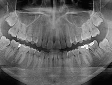
La odontopantomografía se conoce también como rayos X panorámicos, es un examen dental en 2D que permite capturar una imagen completa de la boca.
¿Cuándo se realiza una ortopantomografía dental?
La radiografía dental ortopantomografía permite detectar problemas dentales mediante una imagen completa de los maxilares, la mandíbula y los dientes.
- Permite observar con gran nitidez los dientes, la mandíbula y sus articulaciones, el área nasal y los senos maxilares.
- Existen distintos tipos de radiografía dental: ortopantomografía o panorámica, cefalometría, periapical o TAC Dental.
- Se utilizan normalmente en las revisiones para ver si hay algún problema dental y el diagnóstico de posibles infecciones en la estructura ósea del diente.

- Para realizar un diagnóstico en tratamientos de implantología, aparatos de ortodoncia o antes de una extracción dental.
- La radiografía panorámica se utiliza en los tratamientos con implantes dentales para determinar el estado de tu hueso y si es necesario realizar una elevación de seno maxilar por falta de hueso.
- En los tratamientos de ortodoncia también es necesarios realizar un examen de rayos X para poder planificar adecuadamente el movimiento de los dientes.
¿Para qué sirve una radiografía dental panorámica?
Un estudio radiológico permitirá a nuestros odontólogos saber lo que está sucediendo verdaderamente en tu boca.
Solo con las imágenes de los dientes en rayos X de nuestra boca será posible detectar afección dental.
Cuando llevamos un tiempo sin ir al dentista y acudimos a nuestra revisión es muy recomendable realizar un control radiológico dental completo para detectar:
- La presencia de caries interproximales.
- Dientes con problemas de erupción o quistes.
- Comprobar el estado de la raíz del diente y hueso para determinar el grado de avance de la periodontitis.
En nuestra clínica dental realizamos un estudio radiológico completo a nuestros pacientes a la hora de planificar un tratamiento con implantes dentales.
El examen radiológico oral permite a nuestros odontólogos identificar la cantidad y calidad de nuestro hueso para ser candidato a un tratamiento de implantología

Radiografía dental embarazo.
No debemos realizarnos radiografías durante el embarazo. Sin embargo, si vas por una urgencia y tu odontólogo te lo recomienda porque necesita esta prueba diagnóstica, debes de realizarla junto al tratamiento que te aconseje, por tu bien y el de tu bebé.
Si es necesaria realizar una prueba radiológica estando embarazada, se hará siempre cubriendo tu abdomen con un delantal de plomo. De esta manera, tu hijo estará protegido de cualquier exposición.
- Debes de informar a tu dentista si existe la posibilidad de que estés embarazada.
- Los rayos X, aún siendo mínimos en este tipo de exámenes radiológicos, podrían dañar al feto en cualquiera de sus fases de desarrollo.
Dentista y embarazo, es un tema que suele generar muchas dudas. Si tienes cualquier pregunta, resuélvela con un profesional.
Radiografía dental niños
Ha muchos padres nos preocupan las radiografías dentales en los niños. La odontopediatría se encarga de la salud dental de los más pequeños.
Hoy en día en los controles radiológicos dentales que realizamos en nuestra clínica se emplea una dosis mínima de radiación ionizante.
Los rayos X dentales para los niños es un procedimiento médico seguro que sirve para detectar caries y otros problemas que a simple vista no se podrían detectar.
Tomando las precauciones adecuadas, los equipos de rayos X digitales son capaces de eliminar la radiación innecesaria y permite al odontólogo dirigirlo específicamente a la boca.
Precio radiografía dental
¿Cuánto cuesta una radiografía ortopantomografía en Madrid?
El precio de una radiografía dental panorámica en nuestra clínica dental es el siguiente:
- Coste radiografía panorámica primera visita: Gratuita
- Revisión anual y control radiográfico: 50€
- Radiografía periapical: 60€
Si es tu primera visita las radiografías son gratuitas así como cualquier prueba diagnóstica que necesiten nuestros dentistas para evaluar tu caso.
Si deseas llevártela en formato digital tiene un costo de 50€ el cual incluye el USB.
Opiniones
¿Quieres saber las opiniones de pacientes reales de nuestra clínica odontológica?

Consulta los testimonios y experiencia de nuestros pacientes en nuestra clínica dental en Madrid
Pide tu primera cita llamándonos por teléfono al 91 441 8042 o al 648 41 80 42 si necesitas una radiografía en el dentista.
Nuestro personal se encargará tu primera visita lo antes posible y de responder a cualquier duda de las extracciones dentales.
Radiografía dental en Madrid
¿Necesitas hacerte una radiografía dental en Madrid?
Ponte en contacto con nuestros odontólogos para una valoración gratuita y sin compromiso de tu tratamiento dental?
La Clínica dental medics del Dr. Ferrer está situada en la Calle de Ramiro II, 10. 28003 de Madrid.
En el distrito de Chamberí, muy cerca del metro de Cuatro Caminos, Ríos Rosas, Canal y Nuevos Ministerios.
Pide cita en nuestra clínica dental
Reserva tu primera visita gratuita sin compromiso
CONTACTAR POR WHATSAPP
La Clínica dental medics del Dr. Ferrer está situada en la Calle de Ramiro II, 10, Chamberí, 28003 Madrid, una zona céntrica y bien comunicada.
Estamos a pocos minutos de las estaciones de metro Cuatro Caminos, Ríos Rosas, Canal y Nuevos Ministerios, lo que permite llegar cómodamente desde cualquier punto de la ciudad.

Nuestra clínica dental en Murcia se encuentra en la C. Donantes de Sangre, 3, 30007 Santiago y Zaraíche, Murcia, junto a la Avenida Don Juan de Borbón,una de las principales vías del norte de la ciudad.
A pocos metros de la parada de tranvía de Santiago y Zaraíche, lo que facilita llegar de manera rápida y sencilla desde distintos puntos de Murcia y su área metropolitana.






